TAVI, transkateter aort kapak yerleştirme işleminin tıbbi kısaltmasıdır. Tam olarak açılamayan – kireçlenerek esnekliğini yitiren bir aort kapağının üzerine yeni kapak yerleştirerek kalbinizden aorta giden kan akımını iyileştirir ve kalbin iş yükünü ciddi oranda azaltır.


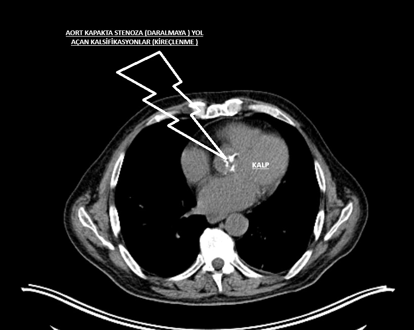
Resim 1: Göğüs Tomografisinde görülen aort kapaktaki kireçlenme (kalsifikasyon)
TAVI genellikle derin sedasyon ya da genel anestezi ile yapılan – kasıktaki atardamardan küçük bir kesi ile yapılan ağrısız bir işlemdir. Koroner anjiyografi veya stent işleminden kullanılan kateterlere benzeyen dar ve esnek bir tüp (katater)kasıkta bulunan atardamarınıza yerleştirilir ve kalbinizdeki aort kapağınıza ulaşılır. Bu kateter esnekliğini yitirmiş ve kireçli eski kapağınızın üstüne yedek bir kapak takmak için kullanılır. Bu katerterden geçen sistem ile ameliyata gerek kalmadan yeni biyoprotez kapak eskimiş kapağın üzerine yerleştirilir.


Resim 2: TAVİ' nin şematik görüntüsü.
TAVİ’ NİN AVANTAJLARI NEDİR?
- Açık kalp ameliyatına gerek kalmadan yaygın olarak kasık atardamarından küçük bir kesi ile gerçekleştirilir.
- Hastalar genellikle daha kısa sürede günlük hayatlarına dönebilir.
- Açık kalp ameliyatına göre daha az risklidir.
- İşlem genel anesteziye gerek kalmadan sedasyon ( hafif uyku hali ) ile yapılır.
Bu makale genel bilgi amaçlıdır ve bir doktor tavsiyesi yerine geçmez. Sağlık sorunlarınızla ilgili en doğru bilgiyi doktorunuzdan alabilirsiniz.


